Price Beat Guarantee! We pride ourselves on our quality and affordability
BEFORE & AFTER
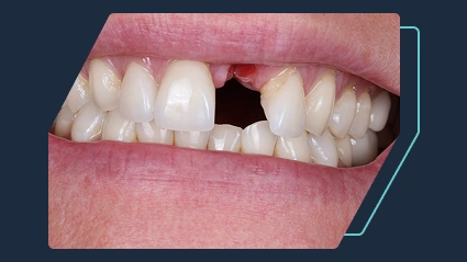
Smile Gallery & Transformations
Explore before-and-after photos showcasing the incredible results achieved by Sumner Dental Group patients.
See Transformations

SOLVE DENTAL PROBLEMS
The fastest and most lasting solution to put your dental problems behind you.
REGAIN CONFIDENCE
Get more than just a beautiful new smile—gain a renewed sense of self-assurance.
TALK MORE, SMILE MORE
Say goodbye to hiding your mouth or feeling self-conscious about your teeth.
IMPROVE YOUR HEALTH
Enjoy the comfort and confidence to fully embrace the moments that matter most.

No More Dental Pain
Take Back Control of Your Health
Whether you want to enjoy your favorite foods again, regain control of your overall health, eliminate dental pain for good, or fall back in love with your reflection, Sumner Dental Group is here to help you make it happen.
Sumner Dental Group
Smile Gallery
Find out if you qualify for Sumner Dental Group in less than 2 min.

Why Choose Us
At Sumner Dental Group, we do more than restore smiles — we help renew the confidence and positivity of the people behind them.
Why Sumner Dental Group

Procedure Cost
Take advantage of our special pricing on single or double zirconia arches—affordable, high-quality dental care designed to help you save.
Get Offer Now

Real Reviews
Hear directly from real Sumner Dental Group patients—watch and read about their experiences and what you can expect from this life-changing procedure.
Read Reviews

Smile Gallery
Explore before-and-after photos of Sumner Dental Group patients and witness the amazing transformations made possible by this groundbreaking implant procedure.
See Transformations
